Live εικόνα Αθήνας από το Αστεροσκοπείο Πεντέλης

Νεφώσεις
15.6 °C 77%
ΑΡΧΙΚΗ
pentelikonews.gr Επιστήμη - Υγεία
Προσαρμοσμένη αναζήτηση Google
Διαβάστε τις ειδήσεις μας μέσω RSS Βρείτε μας στο Facebook Βρείτε μας στο Google Plus Ακολουθήστε μας στο Twitter Επισκεφθείτε το κανάλι μας στο YouTube

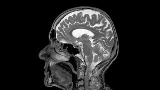
5-ALA: Η νέα εποχή στη χειρουργική των όγκων του εγκεφάλου
Ημερομηνία: Σήμερα 20/10/2025, 08:00 - Εμφανίσεις: 17



Γράφει ο Δρ.

Νικόλαος Καραγεώργος Διευθυντής Νευροχειρουργικής, Ιατρικό Κέντρο Αθηνών (Μαρούσι) Πιστοποιημένος στη χειρουργική αφαίρεση όγκων εγκεφάλου με χρήση φθορισμού μέσω 5-ALA www.neurosurgeon-athens.gr Δρ.

Νικόλαος Καραγεώργος Διευθυντής Νευροχειρουργικής, Ιατρικό Κέντρο Αθηνών Οι όγκοι του εγκεφάλου αποτελούν μία από τις πιο δύσκολες προκλήσεις της σύγχρονης ιατρικής.

Δεν απειλούν μόνο τη ζωή, αλλά και τις βασικές λειτουργίες του ανθρώπου — τη σκέψη, την ομιλία, την κίνηση, τη μνήμη.

Η αφαίρεσή τους απαιτεί ακρίβεια χιλιοστού, αφού κάθε επιπλέον χειρισμός θα μπορούσε να επηρεάσει κρίσιμες περιοχές του εγκεφάλου.

Γι’ αυτό και η εξέλιξη των τελευταίων χρόνων στη νευροχειρουργική, με τη χρήση της ουσίας 5-ALA (5-αμινολεβουλινικό οξύ), θεωρείται επανάσταση.

Η τεχνική αυτή, γνωστή και ως φθορίζουσα χειρουργική, δίνει στον χειρουργό τη δυνατότητα να “βλέπει” τον όγκο με εντυπωσιακή ευκρίνεια, μειώνοντας τον κίνδυνο να παραμείνουν καρκινικά κύτταρα ή να τραυματιστεί υγιής εγκεφαλικός ιστός.googletag.cmd.push(function() { googletag.display("300x250_m1"); }); Τι ακριβώς είναι το 5-ALA; Το 5-ALA είναι μια φυσική ουσία που μετατρέπεται μέσα στα καρκινικά κύτταρα σε προτοπορφυρίνη IX — μια χρωστική που φθορίζει όταν εκτεθεί σε ειδικό μπλε φως.

Πριν από το χειρουργείο, ο ασθενής λαμβάνει το φάρμακο από το στόμα.

Στη διάρκεια της επέμβασης, όταν ο νευροχειρουργός χρησιμοποιήσει το κατάλληλο μικροσκόπιο, ο όγκος “λάμπει” με έντονο κόκκινο φως, ενώ ο υγιής ιστός παραμένει σκούρος.

Έτσι, τα όρια του όγκου γίνονται ορατά με εξαιρετική ακρίβεια.

Με απλά λόγια, η τεχνική αυτή δίνει στον χειρουργό έναν “οπτικό χάρτη” μέσα στον εγκέφαλο, καθοδηγώντας τον να αφαιρέσει όσο το δυνατόν περισσότερα καρκινικά κύτταρα χωρίς να βλάψει τις φυσιολογικές περιοχές.

document.addEventListener("DOMContentLoaded", function () {lazym2();}); Γιατί είναι τόσο σημαντική αυτή η εξέλιξη; Η πλήρης αφαίρεση του όγκου αποτελεί έναν από τους πιο καθοριστικούς παράγοντες για την επιβίωση και την πρόγνωση του ...

Πηγή/Περισσότερα: in.gr
Μείνετε σε επαφή μαζί μας:
Κάντε like κι ακολουθήστε τη σελίδα μας στο Facebook
Στο Twitter:
Περισσότερα θέματα στην κατηγορία "Επιστήμη - Υγεία"
Περισσότερα θέματα στην κατηγορία "Επιστήμη - Υγεία"
ARTICLES
· White mushrooms: Properties and benefits
· Narcissistic Personality Disorder: Understanding the complexities
· Ford to Construct Europe's Largest Battery Plant in Turkey Under New Deal
· Redesigned 2023 Peugeot 508 model to be revealed on February 24th, 2023
· BMW: Premiere for updated BMW X5 M Competition and X6 M Competition
· Ford Mustang Mach-E with lithium iron phosphate (LFP) batteries
· How to fix error: Either there is no default mail client or the current mail client cannot fulfill the messaging request. Please run Microsoft Outlook and set it as the default mail client.
· Omega-3 fatty acids and their health benefits
· Samsung Galaxy S23 Ultra review
· Netflix has extended its crackdown on password sharing from Latin America to Canada, New Zealand, Portugal, and Spain
VIDEO NEWS


ΟΜΟΡΦΑ ΚΑΙ ΠΑΡΑΞΕΝΑ
ΑΦΙΕΡΩΜΑΤΑ
ΚΑΙΡΟΣ LIVE

Νεφώσεις
15.6 °C 77%
Περισσότερα >>
TV - ΟΙ ΤΑΙΝΙΕΣ ΤΗΣ ΗΜΕΡΑΣ

Περισσότερα
DOWNLOADS
- Περισσότερα >
ΠΑΡΑΤΗΡΗΤΗΡΙΟ ΣΕΙΣΜΩΝ

Live γραφική ενημέρωση για τους σεισμούς στην Ελλάδα
DRONE VIDEOS
Drone videos από πολλές περιοχές της Ελλάδας.
Τα πιο πρόσφατα:
· Θεσσαλονίκη
· Καλαμάτα
· Λουτράκι
· Λίμνη Στράτου
· Αγρίνιο
· Τρίκαλα
· Μετέωρα
» Περισσότερα


Ειδήσεις



Ειδήσεις από το Αθηναϊκό Πρακτορείο Ειδήσεων



Copyright 2010-2025 © pentelikonews.gr
Privacy Policy and Cookie Policy - Πολιτική απορρήτου και cookies